Naše práce

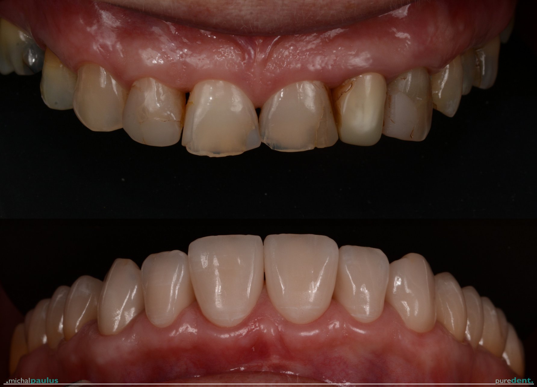
Celková rekonstrukce horní čelisti s ortodontickým předléčením

Celková rekonstrukce horní čelisti s ortodontickým předléčením

Celková rekonstrukce horní čelisti s ortodontickým předléčením Celková rekonstrukce horní čelisti s ortodontickým předléčením Celková rekonstrukce horní čelisti s ortodontickým předléčením
Celková rekonstrukce chrupu

Celkové rekonstrukce chrupu

Celková rekonstrukce chrupu Celková rekonstrukce chrupu Celková rekonstrukce chrupu Celková rekonstrukce chrupu
Rekontrukce postranního úseku chrupu

Rekontrukce postranního úseku chrupu